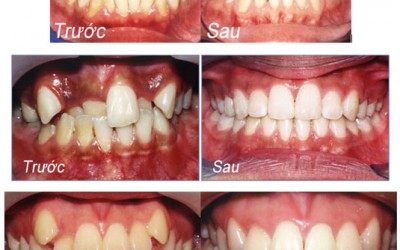
Hàm răng đều, đẹp một phần do yếu tố di truyền, nhưng hầu hết những người có răng lợi tốt là do vệ sinh răng miệng thường xuyên và đa số những người răng bị hỏng là do ăn quá nhiều đường, nhất là khi còn ít tuổi. Vì vậy, trẻ em nếu được vệ sinh răng miệng tốt, khi trưởng thành hàm răng sẽ phát triển tốt, ít mắc các bệnh về răng.




